當謝小姐與她先生走進門診時,我的眉頭一皺,發覺案情不單純。如果是正常懷孕,喜悅,是藏不住的。
果然,問了病史。謝小姐已經是第三次懷孕了,前兩次很不幸地因為早發性胎盤剝離及胎兒胎死腹中,分別於23周及25周結束妊娠。這次,又懷孕了,少了別人懷孕時的喜悅,有的只是面對未來未知的恐懼。
說實話,在三年前,碰到這樣的孕婦,我們所能做的只是密切觀察與等待,一旦發生,仍是只有無奈。
還好,在最新的醫學進展下,我們確認了這是一種屬於胎盤功能不良的疾病。過去我們叫做子癲前症,俗稱妊娠高血壓,但現今對這個疾病的了解,已經知道他是屬於胎盤功能不良所引起,而且表現多變,並不是過去刻板印象發生高血壓合併蛋白尿及水腫,如此而已。
在幫謝小姐確認了這個狀況之後,我們開啟了一連串相關的治療模式,中間我們也一度絕望,但感謝老天爺,我們不放棄的撐到了33周。雖然孩子仍然算是早產了,而且體重也比正常的周數落後了六周以上,但奇蹟似的我們把一個在過去幾乎注定要被放棄的孩子健康的給救回來。
作為一個醫師,沒有任何一件事是比這種情況更讓人滿足的了。
無所不在的子癲前症
子癲前症的發生率約為2%,也就是說,這個疾病離一般人並不是那麼遙遠,甚至,是無所不在。
在眾多的產科併發症當中,對孕婦與胎兒影響最大的就是子癲前症,過去,不知道為什麼,總有一群孕婦到了後期,就會開始有血壓升高,甚至胎死腹中合併癲癇的問題,這個問題一直是周產期照護中一個非常重要的挑戰。尤其是體重小於34周發生的早發型子癲前症,更是造成母親與胎兒產生併發症最主要的元兇,也是我們產科醫師執業中的大敵。
產界最大謎團
數百年來,子癲前症的成因一直是婦產科界的大謎團。由於超音波醫學的進步,我們開始發現,在子癲前症的孕婦當中,子宮動脈血流會有一些阻力上的變化,不過很可惜的,由於超音波的測量很難被標準化,而且技術門檻仍然很高,所以一直停留在研究之階段,無法在臨床上被大規模之應用。
所以要成為一個臨床上好的檢測,必須要能夠穩定量化而且普及,因此如果能有血清生化方面的檢測是最完美的了,畢竟這是比較容易被客觀量化之工具,所以尋找子癲前症之致病機轉與相關生化指標一直是我們產科醫師的夢想。
身為有理想有抱負熱血產科醫師的我(大誤),自然也不例外。十幾年前,我開始投入研究工作時,就一直很想探討這個題目,但是好朋友就會一直澆冷水「別傻了,全世界多少人搞了一兩百年都搞不清楚,你是誰啊?別浪費時間了啦。」而壞朋友就會告訴你「加油,很好,這是很重要的題目啊,好好努力。」(謎之音:反正一定做不出來、反正一定做不出來、反正一定做不出來)。
PIGF是關鍵
很榮幸的,我們的團隊,是世界最早發現胎盤生長因子(PlGF)和子癲前症有關的兩個團隊之一。在十年多前,我們發現在懷孕後期發生子癲前症的孕婦,在懷孕早期時,血清當中的PlGF濃度是比正常人低。這暗示著,胎盤功能是造成子癲前症的重要決定因子。

這個發現,在這幾年間不斷地被許多的國際期刊論文所引用,在接續的研究當中也發現,合併應用PlGF指數與超音波子宮動脈血流之檢測,可以有效在早期發現會發生子癲前症的孕婦群。

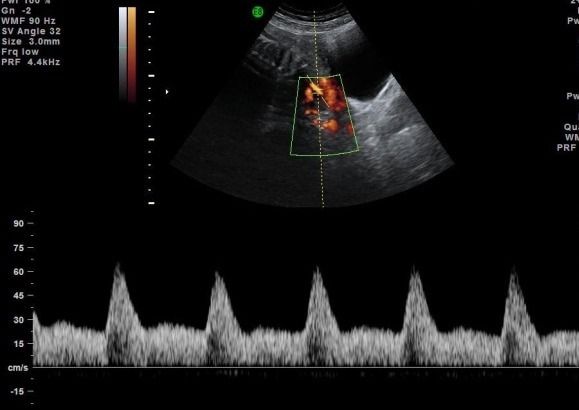
超音波下子癲前症高危險群子宮動脈血流量測。 圖/蘇怡寧醫師提供
目前已知,子癲前症的根本原因是來自於胎盤,胚胎著床後,會使母體產生胎盤生長因子,讓子宮螺旋動脈擴張,阻力下降,以應付胎兒成長過程所需的大量血液供應,但子癲前症患者的胎盤生長因子濃度較低,因此子宮動脈血管擴張不佳。
在懷孕初期,胎兒血液需求不大,不會產生影響,但隨著懷孕周數增加,血管的管徑大小若相差一倍,所產生的血流量差異卻是高達十六倍,此時高阻抗的血管不足以應付胎兒成長過程所需的大量血液供應,容易產生胎兒過小,此時孕婦則會以血壓上升,來增加血液的供輸給胎兒,因此產生子癲前症。
發現治療策略
只了解成因,卻需要有效的治療策略,否則也只是枉然。很快的,臨床研究發現,阿司匹靈治療高危險孕婦的成效顯著,所有的一切,就顯得令人振奮了,而這也是我們一直強調的,當基礎研究無法運用在臨床上對健康有所貢獻時,那終究是個遺憾。
所以,當致病機轉及治療模式都有了,這時,如何早期能夠偵測出這些高風險的孕婦群並加以治療,就顯得非常重要。
經過這數十年不斷的研究,國際上已經證實,透過早期懷孕時子宮動脈血流阻力的測量評估,再加上血清生化指標之檢測,我們已經可以有效找到95%的子癲前症高風險孕婦,並施以有效治療。
當然,在這條防治的路上,雖然我們走得很早,但很可惜,在台灣,我們還是沒有能力能夠持續領先全世界,率先完成完整的篩檢模式(一嘆) ,但雖說如此,成功不必在我,對這個防治議題,我們具有很深的了解與情感,所以我們當然必須義無反顧地推行下去,也因為有這樣的堅持,我們才得以讓這些深受子癲前症所苦的家庭有了不一樣的人生機會。
子癲前症的防治不再遙不可及!
現今,除了早期篩檢之外,我們還有中晚期的子癲前症篩檢預測指標可以利用,這種最新的檢測方式也可以預測在一個月內發生子癲前症及其併發症的機會有多高。這,絕對遠比過去像是完全無法掌握的不定時炸彈要來的好上許多。
簡單來說,在二十一世紀,對於子癲前症,我們的掌握度更高了,對於這個疾病的治療不再遙不可及。很高興,在子癲前症研究防治的這條漫漫長路上,我們終究還是留下了我們的足跡。
子癲前症孕婦的一線希望
昨天,又有一個從新竹來的媽媽,愁眉苦臉地走進我門診。她訴說著上次懷孕在29周時,因為子癲前症,小孩重度早產。在一年後的今天,從眼眶泛著的淚水之中,我不忍心,也不需要再問她「現在,孩子還好吧?」這類的問題。夫妻倆只擔心,下一次懷孕,會不會再有這種情況?或者,我們該不該再來一次?
我相信,大概沒有人有能力再度承受一次這樣的衝擊。經過詳細的解釋,我很堅定地告訴他們,科學,當然無法保證百分之百。但現在,我們一定可以做得比過去更好,而不必再是茫然、恐懼,與無助。在這條道路上,我們已看到曙光,不再黑暗。
從他們離開診間時帶著希望的目光中,我,再次找到了作為一個醫者所該有的尊嚴。
這,就是我們存在的目的。
