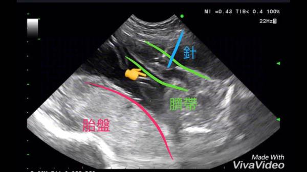
經常 很多人問我羊膜穿刺的問題 今天 不討論需不需要做或是什麼時候需要做的問題 今天 我直接讓大家看看是怎麼做... Continue Reading →
2%跟萬分之一,你猜哪一個?
胎兒過小?侏儒症? 又是門診的日常。 每個星期都有 今天有一位媽咪 懷孕22周 帶著報告來找我諮詢 之前羊膜穿... Continue Reading →
關於早期破水
還記得 這位媽咪我第一次看到她 是在四個多月前 19週 印象很深刻 媽媽陪她一起過來 一坐下來 劈頭第一句話就... Continue Reading →
染色體圖譜上面的那些像毛毛蟲的東西,怎麼彎彎的啊?
或許你做過羊膜穿刺 也或許你自己做過染色體檢查 你是不是曾經有過這個疑問 為什麼我的染色體報告有些是彎彎的呢?... Continue Reading →
除了羊膜穿刺 還有其他選擇嗎?
除了羊膜穿刺 還有其他選擇嗎? 上星期 跟大家介紹了羊膜穿刺 在這星期的BoBoCan寶貝幫x蘇醫師講古 我們... Continue Reading →
關於羊膜穿刺
BoBoCan寶貝幫x蘇醫師講古系列 有時候 用說的比用寫的簡單 我知道 很多沒做過的媽咪 即便聽過很多 但是... Continue Reading →
關於羊膜穿刺
很多人都喜歡說 羊膜穿刺是最準確的 是百分之百準確的 真的是這樣嗎? 我從事了20多年這方面的工... Continue Reading →
有關基因晶片的兩三事
基因晶片檢查些什麼? 既然小弟忝為推動基因晶片檢查的先驅者,以下是我兩年前替親子天下所寫的一篇文章,時空不斷轉移,但對的事情是不會被改變的
唐氏症:13週跟20週的距離
來函照登 ‘請問如果確定必須要做羊穿了,還需要做早期唐氏症篩檢嗎?’ ‘想問蘇醫師,關於早期唐氏症篩檢,如果,... Continue Reading →
來聊聊心臟小白點吧
很多人不斷問我心臟小白點的問題,在這裡一併說明,以後請爬文不再各別回覆謝謝
