唐氏症會再發嗎?
今天是蘇老師上課時間
好的
今天剛放完假期
就來討論這一個比較嚴肅的課題吧
在很多不幸遇到唐氏症的父母最常問的一個問題就是
唐氏症會再發嗎?
我下次還會再遇到嗎?
我相信
這在很多曾經遭遇過的父母親身上應該都是一個很大的傷痛與疑問
這樣說吧
絕大部分的唐氏症都是隨機發生的
絕大部分都是在卵子減數分裂的不分離所造成的
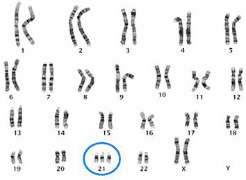
就如同第一張染色體圖所顯示的
他是多了一顆第21號染色體
是隨機發生的
當然不可否認這跟卵子的品質比較有關
母親年齡越大相對的卵子的品質下降機率自然就會上升
這就好比說
你把它想像卵巢就是一個冰箱
大概平均一輩子就是排出500顆卵子
平均一個月要排出一顆卵子
隨著年齡越高
卵子在冰箱放得越久
當然壞掉的機會就比較高
但這不是絕對
就是機率的問題
媽咪年紀比較輕當然機率比較低但絕對不是零
媽咪年紀比較大當然機率比較高但也絕對不是百分之百
冰箱還在運作不可能裡面的東西都是壞掉的
跟父親的年齡有關嗎?
在唐氏症的研究上面確實比較沒有關係
所以回過頭來
到底唐氏症會再發嗎?
當然還是有可能
統計上再發的風險就是比一般人高一些些
跟年齡比較相關
但不會遺傳
當然
不可否認的
在唐氏症中我們會發現大概有5%是屬於染色體轉位型
這說實話有點複雜
也就是說在很特別的染色體中會發現
這主要是在D組(第13、14、15對染色體)或者G組(第21對、22對染色體)
會黏合在一起
而當看到這類型你就必須要去檢查父母的染色體
因為這就有可能是父母帶有平衡性轉位所造成的不平衡型轉位
有興趣的也可以看我照片中的圖示
不過
這種的很少
前面說過大概就是5%
確實這種再發的機會就很高了
不過不必太過擔心
真正遇到了我們還是有辦法可以解決的
記得之前跟大家聊過PGS吧?
在這裡👇👇👇👇
https://www.facebook.com/1737494576543429/posts/2148085128817703?sfns=mo
這個之後有空還會再聊
至於還有一種鑲嵌型的唐氏症
這更少
大概1%上下
在這類型的寶寶中有些染色體是正常的有些是屬於21號染色體三倍體
不過這個水很深我們就不討論了
不過簡單來說這種也是屬於隨機發生不太容易再發的
好的
今天遺傳諮詢課上完了
希望可以對大家有幫助
當然
我還是衷心希望大家不需要胡思亂想啦
有問題請交給專業的來。
各位新同學沒事做的可以複習一下功課
我們有目錄
要發問前可以先找一下喔
我過去寫過文章的目錄在這裡👇👇👇👇
導覽目錄在這裡
https://drsu.blog/2017/12/18/super-list/
不然
置頂文也有👇👇👇👇
https://www.facebook.com/1737494576543429/posts/1807370666222486?s=1727931221&sfns=mo
對了
有同學說我寫太多很難找
關於這點我很抱歉
可以善用搜尋功能喔👇👇👇👇
https://drsu.blog/2018/01/01/super180101/
小弟新書出版了連結在這裡
嫌看手機必須滑啊滑手很酸的可以去買一本
https://www.books.com.tw/products/0010829541
FB原文討論串


