惱人的子宮頸閉鎖不全
永遠充滿著不確定性的產科日常
生產是一件再平常不過的事情了
但中間過程會遇到的一些突發狀況還真叫人常常措手不及
子宮頸閉鎖不全
就是其中一件非常討人厭的事情
今天早上
這位媽咪來門診
本來是預定要做羊膜穿刺的
第一胎
但很不幸的
在穿刺前的例行超音波確認中
發現子宮頸口已然打開
這樣說吧
如果今天超音波沒有發現這個情況
應該在接下來這個星期的某一天
毫無例外的
會遭遇到突然間破水合併流產的緊急狀況
幾乎沒有任何徵兆
措手不及
也無法挽回
而且
經常性的會搞不清楚到底發生了什麼事情
最可怕的是
如果子宮頸閉鎖不全這個診斷沒有被及時確認
下一次懷孕終究註定還是避免不了再次發生的可怕夢靨輪迴
經過詳細解釋與討論
沒有更好的方式了
決定放手一搏
立刻安排了緊急子宮頸環紮手術
還好
手術一切順利
當然
接下來一兩個星期的關鍵期還是必須要撐過去才算真正過關
但是這一定要拼了才有機會啊
媽咪加油!
後續:那一天 我們跟老天爺拔河
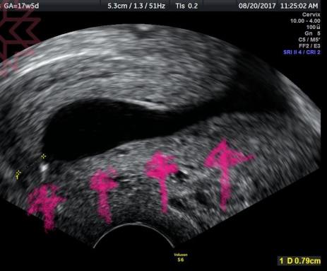
圖中箭頭所指即為原本該有的子宮頸
但因為閉鎖不全所以原本應該閉合的子宮頸內口已經張開
羊膜腔幾乎已經要突破衝出整個子宮頸
只剩最左邊一些些外口還死命撐著⋯⋯

