區分單羊膜或雙羊膜同卵雙胞胎真的重要嗎?
來函照登
1
先講重點
這不是糾不糾結
這是要不要把事情做對的問題
因為
單羊膜同卵雙胞胎
最大的風險就是臍帶纏繞
先說最真實的數據
過去在沒有密切監測的年代
死亡率高達三成到七成
主要來自臍帶纏繞本身
這不是什麼都市傳說
是真實的數字
但
在現代有密切監測
住院觀察
以及適當的早期分娩策略之後
死亡率已經降低到一成以下
所以
單羊膜不是“一定會出事”
但它絕對是“需要高度專業追蹤的高風險妊娠”
至於雙羊膜同卵雙胞胎
最大風險則是在於雙胞胎輸血症候群
整個追蹤模式
追蹤頻率
處置邏輯
都完全不同
所以
在懷孕早期
把這兩種狀態分清楚
是國際標準
也是安全的基礎
2
半個月前這位媽咪傳訊息給我
希望我幫她判斷是否有羊膜隔間
但我委婉的告訴媽咪
超音波判讀
不是靠一張解析度不足的截圖
就能負責任地做診斷
操作者必須在現場
看角度
看動態
看羊膜線的飄動
看臍帶與胎兒的相對位置
在超音波的世界
只有照片不一定會有真相
超音波是動態診斷
不是單靠靜態圖片就能完成的
超音波照片永遠無法取代現場判讀
在資訊不足情況下隨便給出建議或結論
那不叫專業
那反而是不負責任跟製造風險
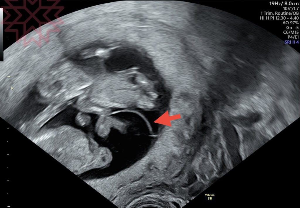
3
最後
這位媽咪在這個星期二
真的就從台南上來台中找我
結果
答案大概五秒鐘就確認了
就在最後一張圖
但我相信
你上來這一趟
應該是值得的
畢竟
把事情弄清楚
永遠比胡亂猜測安全太多
4
最後
補充一個常被忽略的重點
為什麼要在八到十三週之間
確認是否有羊膜隔間?
因為
到了中後期
胎兒變大
空間變小
羊膜隔會被擠到角落
影像變得模糊
更難判讀
反而是孕早期比較容易確認
尤其是在十一到十三週之間
成功率最高
是國際建議的判讀時機
所以
所有國際指引都強調
絨毛膜性 chorionicity
以及
羊膜性 amnionicity
都應該在第一孕期完成判定
這不是在挑剔
而是把事情做正確
就醬
參考文獻
1. Khalil A, Rodgers M, Baschat A, et al. ISUOG Practice Guidelines: role of ultrasound in twin pregnancy. Ultrasound Obstet Gynecol. 2016;47(2):247-263.
2. American College of Obstetricians and Gynecologists. Multifetal Gestations: Twin, Triplet, and Higher-Order Multifetal Pregnancies. ACOG Practice Bulletin No. 231. Obstet Gynecol. 2021;137(6):e145-e162.
3. Rustico MA, et al. Management of monoamniotic twins: contemporary outcomes. Fetal Diagn Ther. 2017;41(2):89–95.
4. Hack KE, et al. Perinatal outcome of monoamniotic twin pregnancies. Obstet Gynecol. 2009;113(2):353–360.
5. Sebire NJ, Snijders RJ, Hughes K, et al. The hidden mortality of monochorionic twin pregnancies. Br J Obstet Gynaecol. 1997;104:1203–1207.
最後附上相關醫學名詞中英對照👇👇👇
絨毛膜性
chorionicity
羊膜性
amnionicity
單絨毛膜
monochorionic
雙絨毛膜
dichorionic
單羊膜
monoamniotic
雙羊膜
diamniotic
雙胞胎輸血症候群
twin to twin transfusion syndrome
TTTS
臍帶纏繞
cord entanglement
胎盤分配不均
unequal placental sharing
===============
新同學請先參考一下舊文章
很多
我知道
但跟你被洗腦已經一輩子時間的那些迷思比起來
你只需花比你人生短很多很多的時間就可以看完
我們有目錄請動動手指頭滑一下參考置頂文
然後
請善用搜尋🔍功能
所有文章我都也有放在部落格
請google搜尋🔍⋯⋯
蘇怡寧醫師愛碎念
或是
蘇醫師愛碎念
或者
好像打蘇醫師就會跑出來
你試試😌
然後
請善用裡面的搜尋功能
以上




發表留言