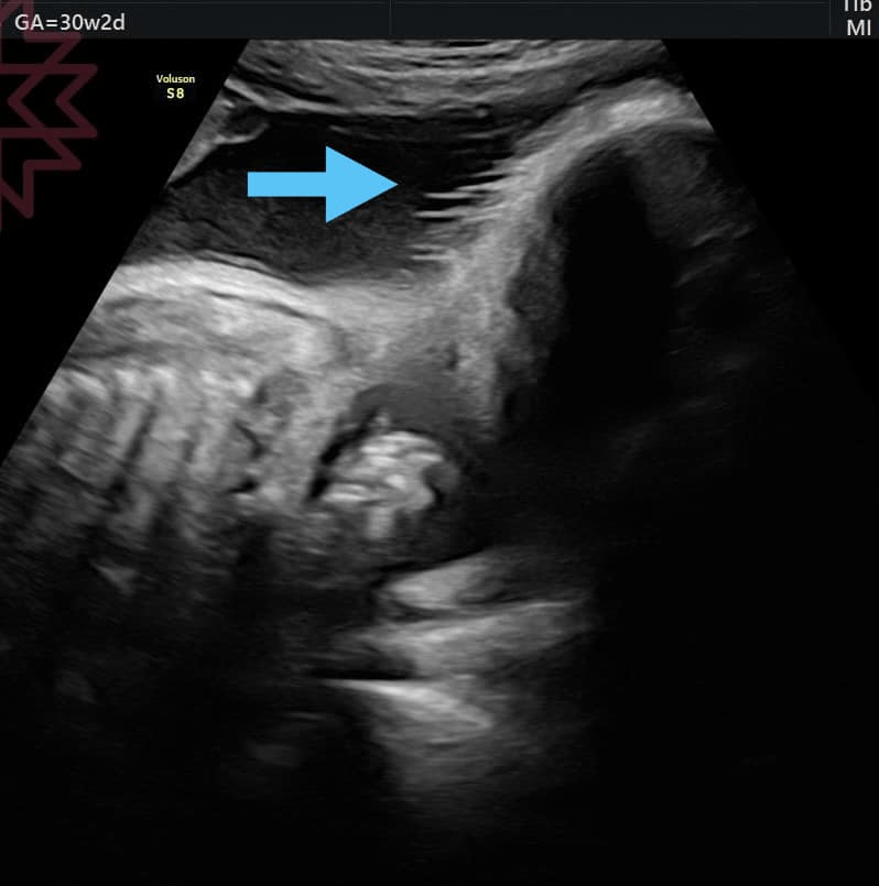
胎兒會有頭髮嗎? 胎兒會有頭髮嗎? 很多媽咪都會很好奇 好啦 其實看得到 只是 很重要嗎?🤷♂️🤣 就醬 =============== 新同學請先參考一下舊文章 很多 我知道 但跟你被洗腦已經一輩子時間的那些迷思比起來 你只需花比你人生短很多很多的時間就可以看完 我們有目錄請動動手指頭滑一下參考置頂文 然後 請善用搜尋🔍功能 所有文章我都也有放在部落格 請google搜尋🔍⋯⋯ 蘇怡寧醫師愛碎念 或是 蘇醫師愛碎念 或者 好像打蘇醫師就會跑出來 你試試😌 然後 請善用裡面的搜尋功能 以上 FB原文討論串 分享此文: 分享到 X(在新視窗中開啟) X 分享到 Facebook(在新視窗中開啟) Facebook 喜歡 正在載入... 相關 在〈胎兒會有頭髮嗎?〉中有 1 則留言 Add yours 引用通告: 蘇醫師愛碎念導覽目錄(置頂文) – 蘇怡寧醫師愛碎念 發表留言 取消回覆 Δ