你是哪一種雙胞胎?
(今天有隨堂考試
(題目就在照片中
前兩天討論到這個問題
今天再來說一下為什麼搞清楚你是哪一種雙胞胎對我們專業醫師來說很重要
(拜託
(這不是什麼長得像不像的問題謝謝
勸世文
文長不喜勿入
我常常在看雙胞胎
所以有一些心裡話
今天還是要跟大家說明一下
我不曉得大家因為是專業的問題比較不會表達
還是醫師真的沒有跟你講清楚
我常常看到有一些中期以後因為各種原因來我門診諮詢的雙胞胎媽咪
我都會問媽咪說你是屬於哪一種雙胞胎啊
結果媽咪都說不出來然後說醫師也沒有跟她說
甚至有時候會跟我說醫師說他也不確定反正出來再看長得像不像就知道
(蛤?
好
算了
我再說一次
早期看你是屬於哪一種雙胞胎對我們專業的醫師是很重要的
因為
道理很簡單
不同種類的雙胞胎發生的問題跟要注意的重點都不一樣
如果你到中後期再去區別說實話有時候會有點困難
(誰說不會的請舉手以後我都轉給你看
(你知道我們看得很辛苦嗎![]()
簡單說
最好的做法就是一定要在10到12週先用超音波確定你是屬於哪種形式的雙胞胎
因為這時候最清楚
我自己的習慣是一定要在病歷上註明清楚並且至少留下一張清晰的影像佐證以方便後面接手的醫師可以做參考
(前人種樹後人乘涼
好
算了
直接看圖
只要專業的醫師大概在這時候都可以知道哪一個是單絨毛膜雙羊膜哪一個是雙羊膜雙絨毛膜
1
雙絨毛膜雙羊膜(DCDA)雙胞胎
同卵跟異卵都有可能
每個胎兒都有自己獨立的胎盤跟房間各自玩各自的
這種追蹤的重點就在於胎兒的發育生長曲線跟早產的風險
其他跟單胞胎差不多
對我們產科醫師來說是相對單純的
2
單絨毛膜雙羊膜(MCDA)雙胞胎
這個一定是同卵
因為共用胎盤所以比較會有血流養分分配不均的問題
這個追蹤的重點最主要是在於雙胞胎輸血症候群
所以我會建議在中期以前要比較密集的追蹤
早期發現早期治療
(其他細節我就不說了
3
單絨毛膜單羊膜(MCMA)雙胞胎
一定是同卵
兩個寶寶共用胎盤而且中間沒有羊膜隔間
這種雙胞胎風險是最高的
問題在於臍帶纏繞
胎死腹中的機率風險也是最高的
一定要及早發現並說明清楚並且擬定後續的策略
(細節我也不多說了
最後
連體雙胞胎是另外一種罕見的形式
不過今天也不贅述
畢竟在現代產科學可以很早就被發現
在台灣應該很少看到了
好
說完了
對了
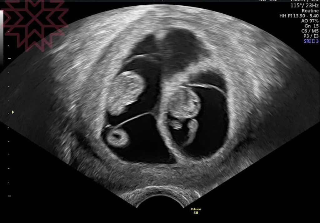
隨便挑三張
抽考一下
大家看得出來這裡面分別有幾個羊膜幾個絨毛膜嗎?
答案之後公佈
就醬




發表留言