今天再來聊聊胎兒乳糜胸的治療
為什麼我三不五時就要寫這個題目?
因為
每次聽到有媽咪來找我的時候跟我說
之前有醫師跟他說這個狀況不好希望他考慮放棄並且做好最壞的打算
聽到這個我就會很難過
當然
世間沒有百分之百的事情啦
我也不能保證什麼
畢竟我們是人不是神
但面對這種狀況我還是必須說
治癒機會真的很高好嗎
千萬不要輕易放棄
不相信?
那我再給你看這一個例子好了
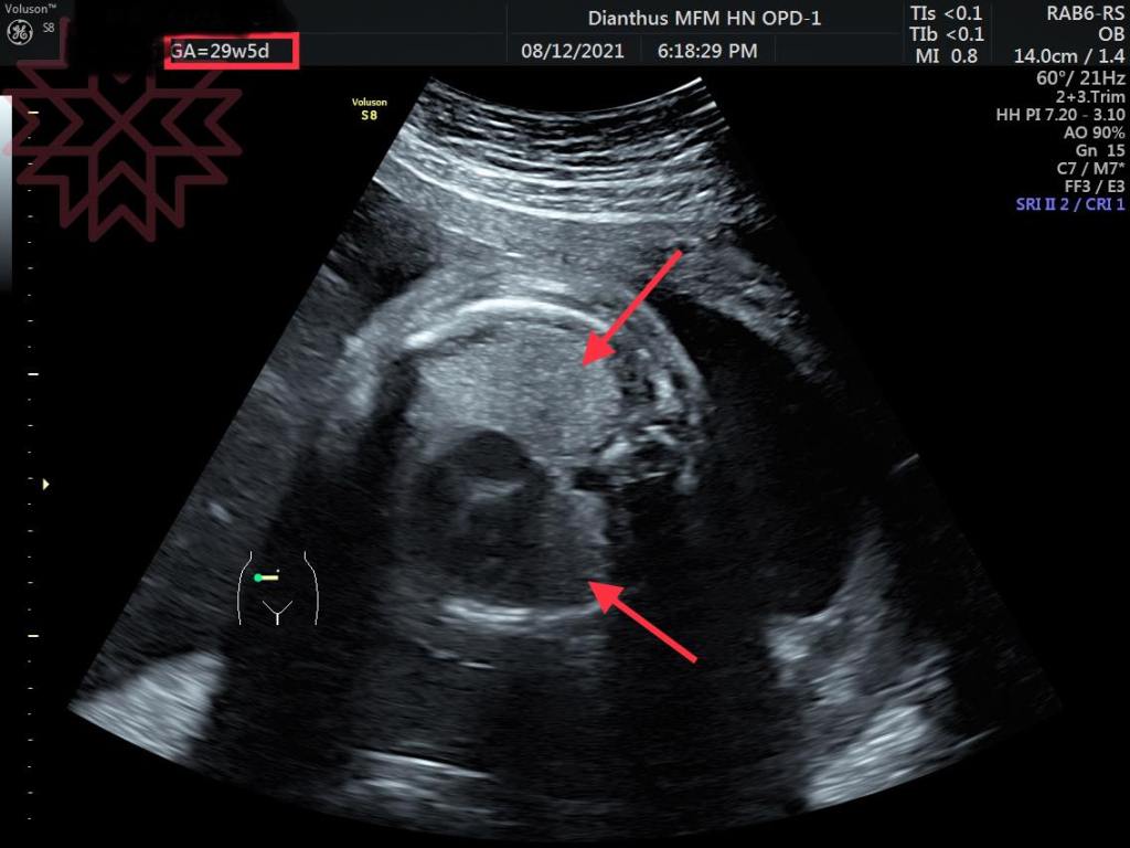
第一張超音波是27周媽咪剛來我門診時候的影像
胎兒雙側乳糜胸
第二張是28周治療一個星期之後的照片
還是胎兒雙側乳糜胸
第三張是昨天29周時的照片
乳糜胸消失了
或許
大家並沒有辦法真的很了解這幾張超音波照片中間的意涵
但總之
我們就是花兩個禮拜的時間想辦法把它變回正常
胎兒雙側乳糜胸
比單側更加棘手
因為它有更高的機會發生胎兒水腫
而確實也已經開始發生了
所以
我們必須試著以更積極更快的速度盡量讓他回到正常
此外
媽咪是每次自己從中部開車上來
因此我也希望能夠盡量減少他來回往返奔波的次數
我們拼了。
每個行業
一定會有讓人覺得喪氣沮喪的部分
但是
你也不可否認
一定也都會有讓人著迷願意一輩子無怨無悔幹下去的部分
而這件事情
正好就是屬於這個部分
我喜歡這種讓生命回到正常軌道的感覺
一定要幸福
就醬
延伸閱讀
再來複習一下乳糜胸的胎兒治療
有需要的請隨時過來找我
給寶寶一個機會吧![]()
![]()
![]()
幸福的遺忘—關於胎兒乳糜胸
https://drsu.blog/2018/12/23/super181223/
堅持的力量
https://drsu.blog/2017/06/25/super-170625/
關於乳糜胸寶寶,關於堅持的力量。
https://drsu.blog/2017/06/25/super-170625-2/
我們給寶寶一個機會吧,今天再來談談胎兒乳麋胸
https://drsu.blog/2018/10/03/super181003/
這就是幸福
https://drsu.blog/2020/10/06/super201006/
單純的幸福
https://drsu.blog/2021/03/22/super210322-3/
好的
各位新同學
我們有目錄
要發問前可以先找一下喔![]()
![]()
![]()
![]()
導覽目錄在這裡
https://drsu.blog/2017/12/18/super-list/
不然置頂文也有![]()
![]()
![]()
![]()
https://www.facebook.com/100047331422378/posts/192828068971573/?extid=0&d=n
對了
有同學說我寫太多很難找
關於這點我很抱歉
可以善用搜尋功能喔![]()
![]()
![]()
![]()
https://drsu.blog/2018/01/01/super180101/
關於基因醫學部落格在這裡![]()
![]()
![]()
https://sofivagenomicsblog.wordpress.com
FB原文討論串




發表留言