雙胞胎會遺傳嗎?
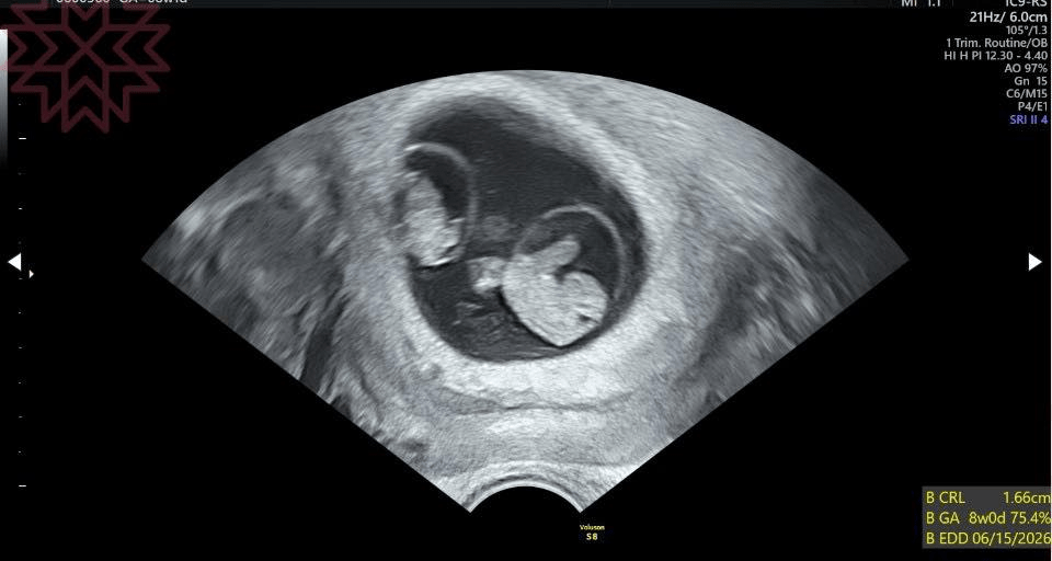
這是一張八週單絨毛膜雙羊膜同卵雙胞胎的超音波照片
還記得
星期一
一對同卵雙胞胎的姐姐陪著妹妹來看產檢
探頭一放下去
同卵雙胞胎。
突然間
現場一片沉默與驚訝
接下來
是瘋狂的大叫
這
實在是太嗨了
(連我都覺得很嗨🤭🤣
當然
不免俗的
我還是等大家都冷靜下來之後
必須盡我的職責好好的跟他們解釋雙胞胎的不同類型跟可能的風險還有接下來的產檢時程規劃
然後
這對姐妹說她們記得媽媽說他們出生的時候也差了三百多克
(嗯嗯可能是輕微的TTTS雙胞胎輸血症候群
(算了今天不聊這個哈哈
看到這個情況
我相信很多人會說
原來
真的有雙胞胎遺傳呢
好
到這裡
我就來聊聊這個大家都很容易會有誤會的地方了
同卵雙胞胎
其實不是家族遺傳的問題
比較像是胚胎在發育初期
不知怎麼的
突然一分為二
是一種偶發事件
醫學目前沒有找到一個固定的基因或機制
可以明確預測誰比較容易生同卵
因此
就算媽媽自己是同卵雙胞胎
下一胎再生到同卵的機率
也沒有顯著增加
(不要懷疑
(統計資料就是這樣

自然界裡
同卵雙胞胎的機率大約是
所有懷孕中的 0.3 ~ 0.4% 左右
(大約一千個懷孕 有三到四個)
反過來說
異卵雙胞胎就比較有遺傳傾向了
尤其在媽媽這邊
因為有些女性的體質
的確比較容易一次排出兩顆卵
所以她們自然發生異卵雙胞胎的機率會比較高
而異卵雙胞胎的自然發生率
平均大概約 1% 左右
不同族群會有些差異
營養 年齡 BMI 卵巢刺激(例如生育治療)
也都會讓機率增加
所以
再簡單整理一下
同卵雙胞胎
→ 偶然
→ 沒有明確的家族遺傳加成
異卵雙胞胎
→ 和遺傳有關
→ 尤其是媽媽家族
所以
如果有人跟你說
我家裡有雙胞胎
所以我應該很容易再生一對吧
要先問的是
是哪一種雙胞胎
因為同卵跟異卵
背後的機制
真的完全不一樣
同卵是偶然
異卵才比較偏向家族體質
這是目前醫學比較一致的理解
因此
話說回來
這位媽咪遇到這樣的機率真的很低呢
所以
絕對值得我寫一篇文章紀念一下
就醬
參考文獻
1. Twinning. Hall JG. Lancet (London, England). 2003;362(9385):735-43. doi:10.1016/S0140-6736(03)14237-7.
2. High Incidence of Monozygotic Twinning After Assisted Reproduction Is Related to Genetic Information, but Not to Assisted Reproduction Technology Itself. Sobek A, Zbořilová B, Procházka M, et al. Fertility and Sterility. 2015;103(3):756-60. doi:10.1016/j.fertnstert.2014.12.098.
3. Twin Births to Mothers Who Are Twins: A Registry Based Study. Lichtenstein P, Olausson PO, Källén AJ. BMJ (Clinical Research Ed.). 1996;312(7035):879-81. doi:10.1136/bmj.312.7035.879.

