1/500的機會
關於平衡性轉位
今天來聊聊這個有點嚴肅不常見但卻又是沒有這麼罕見的科學問題
1/500的機會
你覺得呢?
從這邊說起好了
上星期六
我們生殖醫學的陳醫師
二條線閨蜜 陳菁徽醫師
轉介了一對夫妻來我門診
因為不孕多年接受了試管療程但很可惜失敗了
陳醫師很有警覺的幫他們做了染色體檢查
結果發現先生具有染色體平衡性轉位
(關於平衡型轉位細節我過兩天再說)
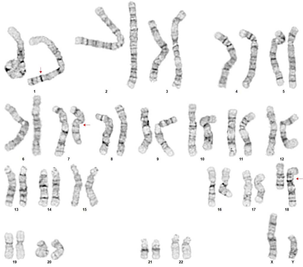
(為保護隱私附圖不是當事人的圖)
(有看到圖片中哪裡有問題嗎?
)
簡單說
夫妻兩人其中一人一旦具有平衡性轉位
本人不會有什麼問題
也不會發現
但一旦要生育就會面臨習慣性流產或是不孕的問題
(其實不是真的不孕只是非常早期流掉你以為是月經來了)
怎麼解決?
在過去生殖醫學沒有很發達的時代
我們就只能鼓勵病人繼續嘗試懷孕早晚會有成功的那一天(平均大概1/9)
聽起來很令人沮喪
是吧?
對
我也是這麼認為
所以
我們現在有胚胎著床前染色體篩檢(PGS)(PGT-A)
http://www.sofiva.tw/cu3d
http://www.sofiva.tw/染色體轉位?不放棄!習慣性流產一樣能擁有寶寶/
簡單說就是先篩選出染色體正常的胚胎再做植入
以大幅提高成功的機會
這個過兩天再聊
好
今天先醬
我得去工作了
未完待續
好的
各位新同學
我們有目錄
要發問前可以先找一下喔![]()
![]()
![]()
![]()
導覽目錄在這裡
https://drsu.blog/2017/12/18/super-list/
不然
置頂文也有![]()
![]()
![]()
![]()
https://www.facebook.com/100047331422378/posts/533697108217999/?d=n
對了
有同學說我寫太多很難找
關於這點我很抱歉
可以善用搜尋功能喔![]()
![]()
![]()
![]()
https://drsu.blog/2018/01/01/super180101/
關於基因醫學部落格在這裡![]()
![]()
![]()
https://sofivagenomicsblog.wordpress.com
FB原文討論串




發表留言